医脉通导读
患者女,22岁,因胸痛,咳嗽和劳力性呼吸困难就诊。此患者既往史复杂,具体看本文介绍。
医脉通编译整理,未经授权请勿转载。
既往史
患者在2个月龄时,突发毛细支气管炎。 此后,反复发生以喘息和紫绀为特征的呼吸道疾病,常住院治疗。 随后,就诊医院的儿科肺病专家对她进行评估。检查发现右肺尖呼吸音减弱,胸部X线显示右上叶先天性肺叶气肿。α1-抗胰蛋白酶缺乏症血检阴性。经胸超声心动图显示右心室扩张肥大,轻度肺动脉高压和小动脉导管未闭。 患者24个月大时,进行右上肺叶切除术,动脉导管未闭栓塞术和右肺中叶活组织检查。



图1 肺标本
Mari Mino-Kenudson博士:肺标本组织病理学检查显示右上叶和中叶肺气肿,相对于正常组织,肺泡数量减少,肺泡过度充气(图1A)。肺气肿周围区域细支气管数量相对于肺血管数量不成比例地降低,中央支气管的粘液栓可能已掩盖支气管腔(图1B)。肺门处中央支气管粘液栓,导致支气管腔部分阻塞,但支气管软骨的数量和轮廓正常(图1C)。诊断结果中无肺动脉高压表现。 在这种情况下,可能有两种原因导致肺气肿:气道正在发生阻塞(气道内或气道外),及感染引起的闭塞性细支气管炎导致肺过度充气。内源性梗阻通常由支气管壁缺损引起,例如支气管软骨发育缺陷或胎粪,粘液栓或其他管腔内阻塞物。 在这种情况下,支气管软骨是正常的。 肺切除时观察到粘液栓,但仅阻塞部分中央气道。 另外,尽管肺气肿所致周围肺区的细支气管数偏少,但没有证据显示为闭塞性支气管炎。
Bartley博士:患者及其家人随后从美国搬到另一个国家,并在另一家医院接受了医疗护理。 当她6岁时,发生自发性气胸,并且进行Marfan综合征的基因检测,据报道结果为阴性。 在接下来的16年中患者仍生活在另一个国家,劳累性呼吸困难和运动耐量下降缓慢发展,在此前的12个月内变得更加明显。
大约6周前,发展成间歇性胸痛。 疼痛剧烈,布洛芬不能缓解。 在休息和劳累时都会发作; 没有发现任何促发因素或恶化因素。患者在当地医院急诊就诊,心电图正常,胸部X线片显示无气胸。 患者出院回家后,直至现在,胸部疼痛每隔几天持续发生。
患者就诊时描述,过去1个月内运动能力有所下降,有1周咳嗽史; 最初为清晰痰,但随后变成深黄色,且在此症状出现的前一天,痰中带有血丝。腹泻、腹痛、呕吐、体重减轻、发冷、无发热。 患者为足月妊娠剖宫产分娩,出生体重3175克。有抑郁症病史,使用舍曲林治疗,必要时使用沙丁胺醇吸入剂。无过敏。读书时生活在欧洲,之后生活在美国。不喝酒、吸烟或使用非法药物。弟弟患有癫痫和发育迟缓;母亲有轻微的关节过度活动综合征,父亲健康。
检查
患者休息时,体格检查:温度37.1°C,脉搏82次/分钟,血压116/72mmHg,呼吸频率18次/分钟,氧饱和度92%。身高169cm,体重47.7kg,体质指数(kg/m2)16.7,无杵状指(趾)。无使用辅助呼吸肌;听诊显示呼气末期在右上肺支气管呼吸音和弥漫性微弱的干啰音。心脏无杂音。手及手臂关节存在过度活动综合征。其余检测未见异常。
肺功能测试结果,1秒钟用力呼气量(FEV1)为预计值的23%,用力肺活量(FVC)为预计值的45%,FEV1与FVC比值为44%。肺总容量是预计值的108%,以及余气量与肺总容量的比值65%。肺对一氧化碳的扩散能力是预计值的26%。




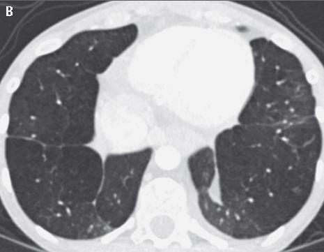
图2 胸部CT扫描图
Brent P. Little博士:胸部对比增强计算机断层扫描(CT)显示肺部过度充气,伴有严重的汇合性肺气肿和多发性肺大疱(图2A,2B和2C);支气管壁弥漫性增厚和出现含气薄壁囊腔,明显不存在支气管扩张。发现右上肺叶切除术后残端和动脉导管未闭的栓塞。主肺动脉扩张,直径3.8cm(图2D)。
诊断
1.疑似诊断
➢阻塞性肺气肿
➢感染后闭塞性细支气管炎
➢原发性肺疾病
➢儿童间质性肺病
➢免疫缺陷综合症
➢自身免疫性疾病
➢结缔组织病
2.最终诊断
基于基因筛查结果为微丝蛋白A (FLNA)基因突变,综合诊断结果:与FLNA突变相关的间质性肺病。
医脉通编译整理:Kremer Ted M,Lindsay Mark E,Kinane T Bernard et al. Case 28-2019: A 22-Year-Old Woman with Dyspnea and Chest Pain.[J] .N. Engl. J. Med., 2019, 381: 1059-1067.

欢迎投稿│tougao@medlive.cn
